抗EGFR抗体薬の効果予測因子としての早期腫瘍縮小

現在、抗EGFR抗体薬のバイオマーカーとしてKRAS statusが広く用いられているものの、KRAS 野生型においても、RAS 変異型のような抗EGFR抗体薬が有効でない症例が存在し、効果予測因子としての感度は不十分です。一方、治療マーカーとして「治療開始8週後における20%以上の腫瘍縮小 (ETS) 達成」が注目されています。CRYSTAL試験では、FOLFIRI + Cetuximab群におけるETS未達成例のOS中央値は18.6ヵ月、ETS達成例は30.0ヵ月と、ETS達成例で有意に延長しており (HR=0.53, p<0.001)、OPUS試験でも同様の傾向を示しています (HR=0.43, p=0.006)。また、PRIME試験においても、ETS達成例におけるOS中央値はFOLFOX群25.1ヵ月、FOLFOX + Panitumumab群30.0ヵ月とPanitumumab併用群で約5ヵ月の延長を認めたのに対し、ETS未達成例ではFOLFOX群16.6ヵ月、FOLFOX + Panitumumab群10.7ヵ月とPanitumumab併用群で約6ヵ月短く、抗EGFR抗体薬の効果予測因子としての可能性が示されました (表4)。
ETSを効果予測因子として利用すれば、1st-line治療において抗EGFR抗体薬併用療法を行い、8週後に20%以上の腫瘍縮小を達成していれば同レジメンを継続し、腫瘍縮小が20%未満の場合は抗EGFR抗体薬を中止する、もしくは抗VEGF抗体薬に切り替える、という治療戦略も可能です。
一方で抗EGFR抗体薬の毒性について、最適なマネジメント法の検証も進められています。神戸地区7病院で行った多施設でのレトロスペクティブ解析では、Panitumumabが投与された33例のうちgrade 2以上の爪囲炎は8例(24.2%)に認められ、出現までの期間中央値は6週間でした。Panitumumab投与休止した5例のうち、grade 2の2例ではその後同量で再開され、grade 3の3例では再開できませんでした。また、このgrade 3の3例は、3rd-line以降でのPanitumumabの使用でした。本結果より、抗EGFR抗体薬ではL-OHPと同様に、毒性が強くなった時点でいったん休薬を行うマネジメントが適しており、抗EGFR抗体薬をいったん休薬しやすい、患者の病態に余裕がある1st-lineでの抗EGFR抗体薬の使用の有用性や、将来的にはL-OHPと同様なstop-and-goの治療の可能性なども示唆されました。
また、現在のKRAS 野生型の1st-line化学療法の治療選択肢として、FOLFOXとFOLFIRIが挙げられますが、FOLFIRIで治療を開始する場合、1st-lineで用いたCPT-II + 抗EGFR対抗薬の組み合わせは3rd-line治療で有用性を期待しづらく、Regorafenibなどを除くと2nd-lineまでとなります (図11)。できるだけ多くの治療ラインを提供できるといった観点から考えると、1st-lineにはFOLFOXベースを用いることが非常に有効であり、FOLFOX + 抗EGFR抗体薬は最適な組み合わせの1つであると考えます。
抗EGFR抗体薬のre-challenge
次に、抗EGFR抗体薬のre-challengeについて考えていきます。
Cetuximabのre-challengeにおける検討では、CPT-11ベースの化学療法 + Cetuximabによる治療後に増悪した症例に対し、6ヵ月後に同様のレジメンを再投与したところ、PFS中央値6.6ヵ月、奏効率54%が認められました9)。標準治療後のRegorafenibの有効性を検討したCORRECT試験におけるplacebo群のPFS中央値は1.7ヵ月なので、抗EGFR抗体薬のre-challengeは有効と考えられます。またPanitumumabのre-challengeにおける検討でも有効性が示されています10)。
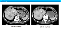
最後に、当院で抗EGFR抗体薬のre-challengeを受けた症例を紹介します。88歳の男性で、S状結腸癌です。抗EGFR抗体薬併用治療9サイクル後に最大の腫瘍縮小が認められましたが、11サイクル後に増悪が認められました。以降、化学療法は中止されていましたが、その後腫瘍の急速な増悪に対し抗EGFR対抗薬を再投与したところ、腫瘍縮小効果が認められました (図12)。
このような状況を背景に、我々は現在、抗EGFR抗体薬のre-challengeに関する臨床試験を企画しています。1st-lineに抗EGFR抗体薬が有効であった症例での、増悪後の3rd-lineにおける再投与を検討しており、Panitumumab (JACCRO CC-09試験)、Cetuximab (JACCRO CC-08) の2つの試験が開始されたところです。










